ISSN: 2688-562X

Clinics Oncology
brings together internationally recognised translational research
into the prevention, diagnosis and treatment of cancer
Clinics Oncology
are uniquely placed to lead the
globalcancer research efforts and innovations

Indexing



Recent Articles

  • Short Communication

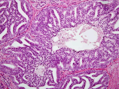
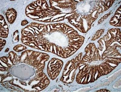
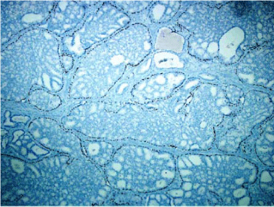
    Pathobiological Study of Leiomyomatoid Angiomatous Neuroendocrine Tumor (LANT)- Like Tumor in the Myometrium

    Takuma Hayashi1*, Tomoyuki Ichimura2, Kenji Sano3, Dorit Zharhary4, Hiroyuki Aburatani5, Nobuo Yaegashi6, and Ikuo Konishi7

    LANT; PSMB9/β1i, CALPONIN h1; Leiomyosarcoma; Myometrial tumor

    PDF
  • Review Article

    Role of Cyclooxygenase-2 – Peroxisome Proliferator-Activated Receptor Gamma Pathway in the Pathogenesis of Sebaceous Gland Carcinoma

    Tanaya Bhattacharya1, Perumal Jayaraj1, Juhi Arora2, and Seema Sen3*

    Cyclooxygenase-2 (COX-2); Sebaceous Gland Carcinoma (SGC); Peroxisome Proliferator-Activated Receptor Gamma (PPARγ); Eyelid

    PDF
  • Case Report

    Thanatophoric Dwarfism Complicating Pregnancy - An Extremely Rare Case

    Papamargaritis Eythimios1, Moschopoulou Sevasti1, Theodoropoulos Periklis2 and Sofoudis Chrisostomos1*

    Pregnancy; Skeletal dysplasia; Thanatophoric dwarfism

    PDF
  • Research Article

    Diagnostic and Prognostic Value of Monocarboxylate Transporters Gene Expression in Patients with Prostate Cancer and Its Potential Use in Liquid Biopsies: A Preliminary Study

    Matheus Moreira Perez1, Glaucia Luciano da Veiga1, Alexandre Luiz Affonso Fonseca1, Luiz Vinícius de Alcântara Sousa2, Auro del Giglio3, Fernando Luiz Affonso Fonseca1,4, and Beatriz da Costa Aguiar Alves1*

    Prostate cancer; MCT1; Differential gene expression; Diagnosis; Prognosis

    PDF
  • Surgical Video

    Supraomohyoid Neck Dissection: Tips and Tricks

    Ashwin Chandran, Pirabu Sakthivel*, Smriti Panda, Kapil Sikka and Chirom Amit Singh

    PDF Video

Collaborations

image image image image image image image

Gallery

Supraomohyoid Neck Dissection: Tips and Tricks

Neck dissection is an important procedure for the head and neck surgeon with diagnostic, therapeutic and prognostic role. Supraomohyoid neck dissection (SOND) is type of selective neck dissection for a node negative oral cavity cancer, malignant parotid tumor or a skin cancer anterior to tragus. We demonstrate the basic surgical steps with essential tips and tricks in SOND in a case of node negative carcinoma of tongue.
Read more

Creative Commons License This work is licensed under a Creative Commons Attribution 4.0 International License.